柳デンタルクリニックでは、CAD-CAMシステムを使っています。
|
|
|
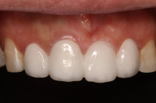
お口の中を最先端の3D光学カメラで撮影(スキャン)し、コンピュータ上に歯を再現しそしてコンピュータで設計した通りに、機械(ミリングマシン)が自動でセラミックの塊を削っていき、歯の詰め物や被せ物を製作します。
従来手作業でおこなっていた作業を、最新のコンピューターを駆使した事で、時間の短縮・3次元スキャンによる正確な咬み合わせを可能にしました。 現在最新の歯科治療と言えます。 |
|
  |
最新型CAD/CAMシステム
|
 |
型どりの代わりに、お口の中を最先端の3D光学カメラで撮影(スキャン)し、コンピュータ上に歯を再現します。 |
 |
コンピュータ上に歯を再現します。そしてコンピュータで設計。 |
 |
機械(ミリングマシン)が自動でセラミックの塊を削っていき、歯の詰め物や被せ物(セラミックインレーやオールセラミック)を製作します。 |
 |
従来手作業でおこなっていた作業を、最新のコンピューターを駆使した事で、時間の短縮・3次元スキャンによる正確な咬み合わせを可能にしました。
現在最新の歯科治療と言えます。
|
|
白い詰め物がその日に入る最先端治療
医療先進国ドイツからやってきた、コンピュータ制御により歯の修復物(詰め物や被せ物)を設計・製作する、歯科専用のCAD/CAMシステムです。
従来手作業でおこなっていた作業を、最新のコンピューターを駆使した事で、時間の短縮・3次元スキャンによる正確な咬み合わせを可能にしました。 現在最新の歯科治療と言えます。
※CAD/CAM治療をご希望で来院されたとしても初診当日に行うことはありません。
>治療の流れ
|