| 虫歯の治療(ダイレクトボンディング) |
虫歯の治療(ダイレクトボンディング)
虫歯がよくできるのはもっともブラッシングしにくい歯と歯の間です。
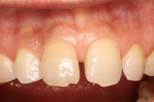
例えば画像1のように虫歯ができたとします。
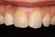
虫歯の部分を綺麗に取り除き、修復しなければいけませんが残念ながら保険治療の場合、金属で修復しますので、金属を維持し接着させないといけませんので、虫歯ではない健全な歯もけずることになります。
だいたいが画像2のようになります。健康な歯まで余分に削るのはもったいないですよね。
|
 |
 |
|
| 画像1 |
画像2 |
虫歯の部分だけを取り除き接着により、埋めていくダイレクトボンディングなら色も白色で、健全な歯を極力けずりません。
| ダイレクトボンディングの治療の写真 |
 |
 |
 |
| 画像1 |
画像2 |
|
|
また前歯の小さな虫歯もきっちりとつめることができます。
|
|
|
虫歯の治療(セラミック治療)
さらに、銀歯ですが、保険治療の材料での型どり、セメントには材料的に限界があります。
また肉眼治療では虫歯の取り残しの可能性もあります。
外れてはいない銀歯でも外してみると画像3-1、画像3-2のように虫歯なってしまっていることもしばしばあります。
| セラミック虫歯の治療1~3 |
 |
 |
|
| 画像3-1 |
画像3-2 |
|
歯の欠損部がある程度大きくなった場合は、型どりをして修復せざるえませんが、綺麗な形成面や変形が
少なく再現性の高いシリコン印象材、また防湿下での的確な接着操作が必須です。
| セラミック虫歯の治療1~3 |
 |
 |
 |
| 治療1 |
治療2 |
治療3 |
またこれらの治療には非常に細かな操作が必要不可欠ですので、マイクロスコープでの治療は非常に有効です。
|
|
|