| 根の(根管)治療 |

当院では、マイクロスコープ、ラバーダムを100%使用し 根管治療をおこないます。
根の(根管)治療とは、虫歯が大きくなって神経を取ったり、以前神経をとった歯に違和感があったり、歯茎に「にきび」みたいのができたりしたときに行なう治療です。
神経は歯の中にあり、神経の入り口は非常に小さく肉眼で確認するには非常に困難で歯の保存治療の中で最も難しくまた重要な治療は根管治療だと考えています。
しかし、残念ながら日本の保険治療での根管治療は世界的スタンダードから大きくかけはなれています。
日本の保険治療の根管治療と欧米のスタンダードな根管治療を比較してみると
根管治療の比較
|
治療時間 |
治療回数 |
ラバーダム |
マイクロスコープ |
器具のディスポ |
治療費 |
| 日本 |
並列診療で数十分 |
平均 4-5回 |
ほとんどしない |
ほとんどしない |
ほとんどしない |
10,000円 |
| 欧米 |
個別診療で一時間程度 |
1-2回 |
必須 |
必須 |
必須 |
100,000円 |
柳デンタル
クリニック |
個別診療で一時間程度 |
2-3回 |
必須 |
必須 |
必須 |
15,000~30,000円 |
根管治療で重要なことは 根の中に細菌が入らないようにすること、また感染を起こしてしまった根管内には細菌が多数存在しているので しっかりと拡大,洗浄を行い 根管治療を行うことが成功のカギとなるのです。
そのため治療回数はなるべく少ないほうがいいです。なぜなら仮のふたで過ごしている間にも唾液からの感染が起こる可能性があるからです。
また、治療中のうがい等の厳禁です。そのため 柳デンタルクリニックの根管治療は一人ずつ行い、1時間以上の予約を取って行います。
ラバーダム防湿の着用は治療中の唾液感染や根管の洗浄、消毒の薬液が口腔内に入ってこないようにするためにも必要です。
また当医院での根管治療には、根管治療で使用される器具は非常に細かいものが多いです。
ただ汚染した器具を用いれば感染のおそれがありとても不潔です。高熱滅菌を行えば細い器具は弾力性を失ったり折れやすくなったりします。
よって当医院では 根管治療で使用する手用ファイル、エンジンリーマーは、すべて治療毎に使い捨てで行っています。
実際にこれらの費用が一番かかり、日本の保険治療ではこれを徹底するのは到底不可能です。
| セラミック虫歯の治療1~3 |
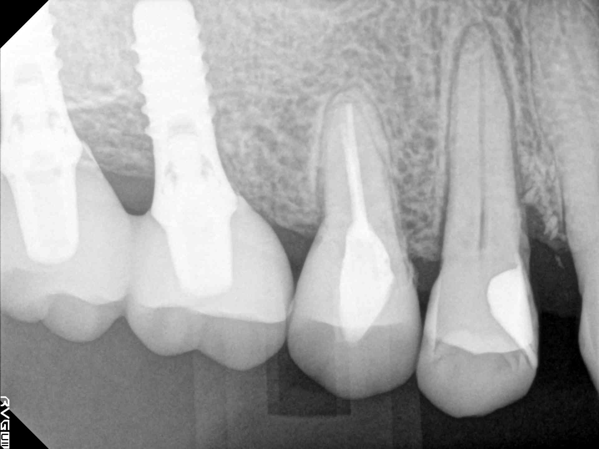
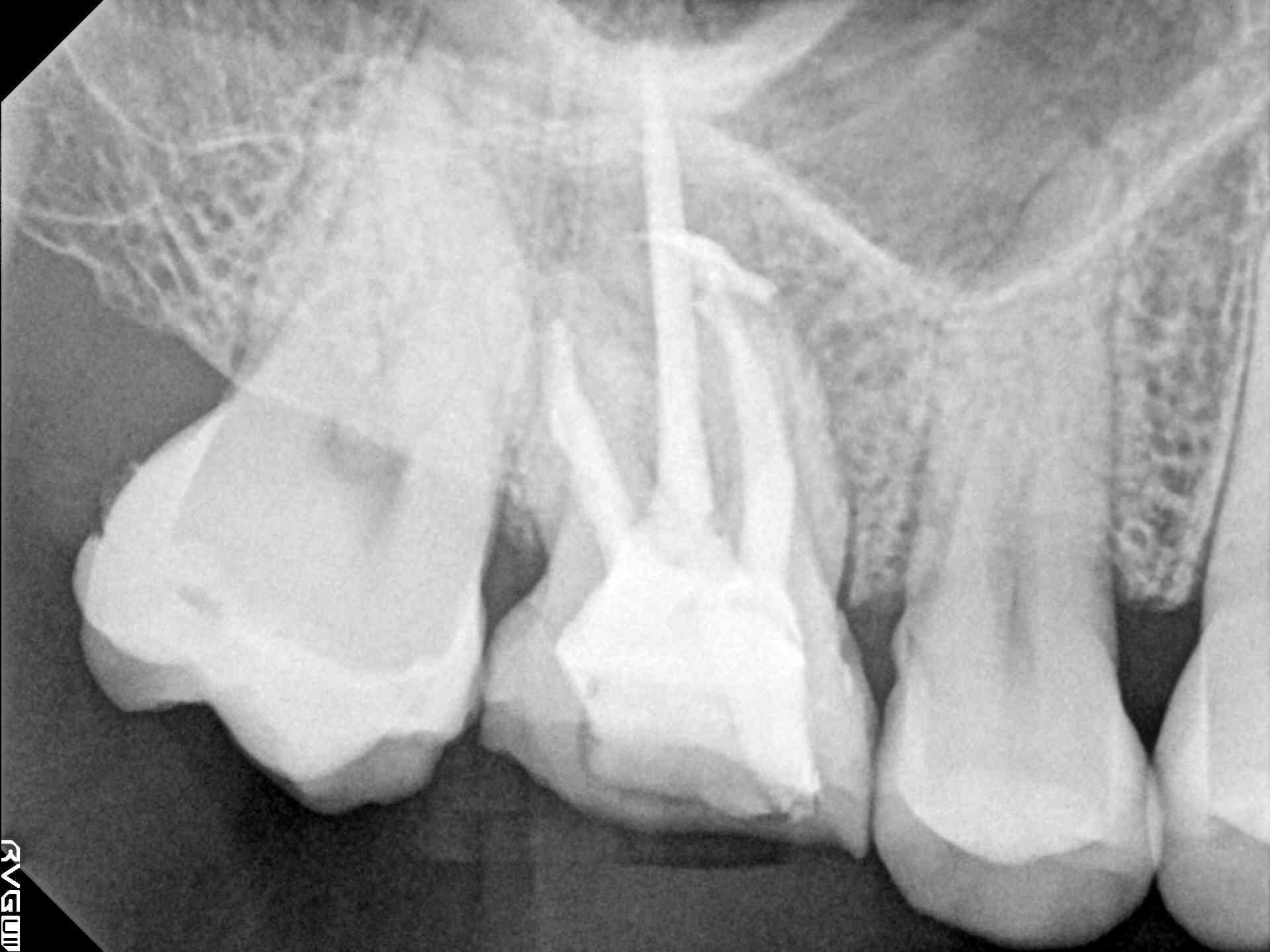
| 写真 根管1、2 |
マイクロで中を綺麗にした根管 写真 根管3、4 |
 |
 |
 |
 |
|
|
|