セラミックのかぶせ
セラミックといっても審美目的だけでは、ありません。
適合のよい被せをいれないと、せっかく治療した歯がダメになります。
一般的に保険診療で使われる、型どりはアルジネートと寒天でおこなわれますが決して再現性のよいものではありません。
当院では、口腔内スキャンで歯型をパソコン上に取り込み、簡単にいうと型取りがこれで済むわけです。
これによろ型取りにおける印象材の変形、模型作りにおける石膏の膨張またはチッピング等のエラーがないため精度のよいものができます。
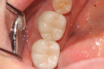
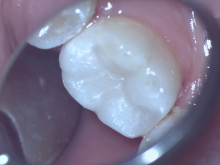
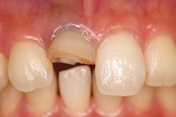
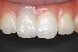
症例写真 セラミック治療前後
当医院で採用しているCAD/CAMです。
(現在、日本には3台しかない最新モデルです。)
CAD-CAMの利点
3次元CADを主体としたもので、個々の歯冠形状の基本データを持ち、設計や加工の一部をコンピュータで行います。
また最新のCAD/CAMのため金属より薄くつくることが可能になり、歯を削る量も少なくすみようになりました。
・ 白い歯を保ちたい!
・ 治療後の歯を目立たなくしたい!
口腔内スキャナー
でスキャンし、セラミックの設計、削りだしを行います。
従来の型取り、石膏、模型作りの工程がありませんので早く、そして工程が少なくなることでそれぞれの工程のエラーがなくなりますので精度のよいセラミックが出来上がります。
最新のドイツ製のCAD/CAM機でかなり精密な被せの製作が可能で、しかも医院にあることで、治療期間の短縮、値段を限りなく安くすることが可能になりました。
当医院での奥歯のセラミック治療は従来のセラミックより強度のあるジルコニアでおこないます。
ワンデイ(1day)
当院では、虫歯を綺麗に取り除き、一日で制度の良いセラミックの詰め物を創ることができます。
マイクロスコープ、ラバーダム、口腔内スキャンCAD/CAMそして個別診療によりこの治療が可能です。
院内で撮った動画も載せてみましたので興味のある方は、ご覧ください。
セラミックの設計のデータを転送したら自動でセラミックの塊を削っていきます。
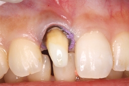
写真(形成中)のように歯茎をよけながら凸凹してないか、
マイクロスコープで丁寧に確認していきます。
症例のご紹介(
ブログ:セラミックの被せ
)
ホーム
トピックス
治療について
医院紹介
・
マイクロスコープ治療
・
CAD-CAMシステム
・
虫歯の治療
・
セラミックのかぶせ
・
根の治療
・
マウスピース矯正
・
その他
・
治療の流れ
・
料金表
・
アクセス方法
・
院内紹介
・
医院長のご紹介
・
治療への考え方
・
個人情報の保護について
〒700-0024,
岡山市北区駅元町22-18,
くすのきビル2F